골절·외상 수술

재발과 후유증 없이
골든타임을 지키는 골절·외상수술!

골절이 일어났을 때 골절의 정도에 따라 치료법이 달라지는데
무엇보다 ‘골든타임’을 지켜야 재발과 후유증 없이 치료가 가능합니다.
통증이 적고 견딜 수 있다는 이유로 방치하게 되면
예후와 수술 경과가 좋지 않을 수 있어 빠른 조치가 필요합니다.

골절·외상 수술 장점

외상으로 인해 상/하지를 이루는 뼈에 골절이 생기거나 연부조직에 손상이 생겼을 경우,
골절된 뼈의 관절면을 맞추는 것은 물론 기능 회복과 조기 일상 회복을 목표로 골절 치료를 적극적으로 시행합니다.

골절의 종류

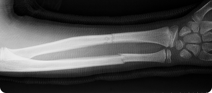
상지골절
상지골절 이미지
  • 위팔 골절, 쇄골 골절, 손목 골절은 손을 짚으면서 넘어질 때,
    팔을 곧게 뻗은 채로 넘어질 때나, 교통사고, 타박 등에 의해 발생합니다.
    골다공증 등으로 인해 뼈가 약해진 분에게 더 쉽게 발생할 수 있습니다.
  • 골절이 발생한 부위 주변으로 통증과 압통이 발생하는데,
    이 통증은 근육의 경직, 뼛조각의 겹침, 주위 연부 조직의 손상이 원인입니다.
    골절 부위가 붓고, 피부 바깥에 보이는 점상 출혈이 발생합니다.
  • 골절이 조금이라도 의심된다면 반드시 X-ray 촬영을 시행하여 확인해야 합니다.
    부위별로 방향과 각도를 달리하여 여러 장의 X-ray를 찍어서 골절 유무를 확인합니다.
고관절골절
부분치환술 관련 이미지
  • 허벅지 뼈와 골반의 연결 부분인 고관절에 금이 가거나 부러지는 것입니다.
    골절이 발생하면 환자의 움직임이 제한되어 대부분의 시간을 누워 있게 되므로
    욕창, 폐렴, 뇌졸중, 심근 경색, 인지 능력 저하 등의 합병증이 나타날 수 있습니다.
  • 대부분 넘어지면서 고관절부의 외측을 직접 부딪히면서 발생합니다.
    젊은 연령에서는 추락이나 교통사고 같은 고에너지 외상에 의한 것이 대부분입니다.
    노인들은 골다공증으로 인해 가벼운 낙상에 의해서도 뼈가 부러질 수 있습니다.
  • 골절 후 즉시 허벅지 바깥쪽과 사타구니에 심한 통증이 있습니다.
    다리를 움직일 수 없습니다. 고관절을 움직일 경우 더욱 심한 통증이 나타납니다.
    골절된 쪽의 다리가 반대쪽에 비해 짧아지며, 발과 무릎이 바깥쪽으로 돌아가있습니다.

골절의 치료방법

골절·외상 수술 적용사례

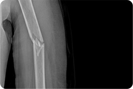
1

상완골 골절 수술

X-ray 및 CT를 통해 골절 형태와 전위 정도를 확인합니다.
골절된 뼈를 원래 위치로 맞추는 정복 작업을 진행합니다.
금속판, 나사, 고정막을 이용해 뼈를 고정합니다.

2

쇄골 골절 수술

쇄골 위쪽을 따라 약 5~8cm 정도 절개하여
골절 부위를 노출합니다. 정복과 고정을 시행하고
절개 부위를 봉합합니다. 수술 후 일정 기간 동안
팔의 움직임을 제한해 뼈가 안정적으로 붙도록 합니다.

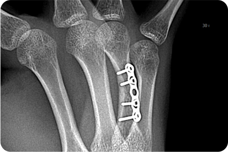
3

손 뼈 골절 수술

손은 작은 뼈들이 정교하게 연결되어 있어
골절 시 기능 손상이 크기 때문에,
정확한 정복과 고정이 중요합니다.

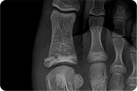
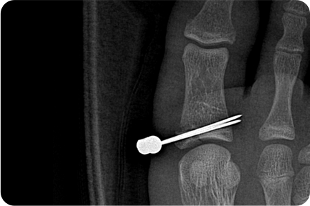
4

발가락 골절 수술

발가락 골절은 대부분 보존적 치료(깁스, 테이핑)로
회복되지만, 골절이 심하거나 뼈가 크게 어긋난 경우,
관절을 침범한 경우, 분쇄 골절에서는 수술이 필요
합니다.

골절·외상 수술,
본바움에서 받아야하나요?

골절·외상 수술은 손상된 뼈와 조직을 정밀하게 맞추고 금속판·나사·핀 등을 이용해 안정적으로 고정하는 치료입니다.
이 과정에서 뼈의 정렬과 관절 기능을 회복하기 위한 섬세한 판단이 필요하기 때문에,
풍부한 경험을 가진 의료진일수록 정확한 교정과 빠른 회복을 기대할 수 있습니다.
본바움병원은 수술 경험이 풍부한 전문의가 첨단 장비와 맞춤형 수술 계획을 통해
최소침습·정밀 교정 골절·외상 수술을 시행하여 환자에게 안전하고 믿을 수 있는 치료를 제공
합니다.

의료진의 풍부한 경험
+
첨단 수술장비
정확한 진단과 치료 방향을 제시하는 이미지
1

정확한 진단과 치료 방향 제시

경험 많은 의료진이 수많은 사례를 통해
축적된 임상 데이터를 바탕으로,
환자의 증상을 빠르고 정확하게 파악합니다.

고난도 수술에서의 안정성
2

고난도 수술에서의 안정성

척추·관절 수술은 정밀함과 안전성이 필수입니다.
본바움병원 의료진의 경험은 수술 중 발생할 수 있는
다양한 변수에 신속하게 대응할 수 있는 힘이 됩니다.

재수술과 복잡한 케이스 관리
3

재수술과 복잡한 케이스 관리

풍부한 경험을 가진 의료진이 다양한 상황을
접해본 만큼, 재수술이나 복잡한 케이스에서도
최적의 해결책을 제시합니다.

세계적인 수준의 수술장비
4

세계적인 수준의 수술장비

최첨단 수술 장비와 정밀 진단 시스템을 갖추어,
고난도 수술에서도 세계적인 수준의
안전성과 정확성을 보장합니다.

본바움병원은 합니다.

척추·관절 QUICK 케어 이미지
POINT 01

척추·관절 QUICK 케어

척추·관절 치료에서 가장 중요한 것은 ‘때’를 놓치지 않는 것입니다.
본바움병원에서는 하루 안에 검사부터 진단, 그리고 필요한 경우
수술까지 QUICK 하게 이어질 수 있습니다.

최소절개·최소침습 이미지
POINT 02

최소절개·최소침습

풍부한 경험을 가진 의료진이 환자의 부담을 최소화하는 데
집중합니다. 최소절개, 최소통증을 원칙으로 하여 불필요한 상처를
줄이고 회복 속도를 앞당깁니다.

본바움 도수클리닉 이미지
POINT 03

본바움 도수클리닉

치료는 끝이 아니라 새로운 시작입니다. 급성·만성 통증 관리부터
시술·수술 후 재활까지, 본바움 도수운동클리닉은 환자의 몸을 다시
건강하게 세우는 든든한 파트너입니다.

청정 무균수술실 이미지
POINT 04

청정 무균수술실

본바움병원의 수술실은 환자의 안전을 최우선으로 합니다.
헤파필터가 공기 중 미세균을 철저히 차단하고, 최첨단 무균·무진
시설이 수술실 전 구역을 청정하게 유지합니다.

BONE BAUM HOSPITAL

본바움병원
YOUTUBE

평소 궁금하신 사항을
영상을 통해 쉽고 자세히 알려드립니다.

유튜브 바로가기

진료안내

02.6354.0100
  • 오전 09:00 ~ 오후 09:00

  • ·

    오전 09:00 ~ 오후 06:00

  • 오전 09:00 ~ 오후 02:00

  • 오후 01:00 ~ 오후 02:00

※ 공휴일은 점심시간 없이 진료

오시는길

서울특별시 은평구 불광로 29, 본바움병원
불광역 7번 출구 바로 앞 11층 건물

※ 불광역 5번 출구 에스컬레이터 이용시 더욱 편리하게 방문하실 수 있습니다.

SELP-DIAGNOSIS TEST
쉽고 정확하게 체크하는
관절 자가진단

어디가 어떻게 아프세요?
본바움병원에서 쉽고, 정확하게 자신의 관절을
체크할 수 있는 자가 테스트를 진행해 보세요!

무릎 자가진단
어깨 자가진단
발관절 자가진단