풍선확장술

풍선이 내장된 특수 카테터를 척추에 삽입하여
좁아진 척추관의 폭을 넓히는 치료법입니다.

신경에 직접 유착방지제와 항염증제를 주입해 통증을 줄이고,
풍선을 부풀려 신경 주변 공간을 넓혀 척추관 협착증에 효과적입니다.
기존 비수술적 치료로는 어려웠던 협착 완화를 가능하게 하여
보건복지부 신의료기술로 인정받았습니다.

풍선확장술 장점

풍선확장술은 꼬리뼈를 통해 특수 카테터를 삽입해 풍선을 부풀려 신경 주변 공간을 직접 넓히는 최신 비수술적 시술입니다.
풍선으로 눌린 조직을 밀어내어 신경 압박을 완화하고, 약물을 정확히 병변 부위에 전달해 통증을 줄이는 장점이 있습니다.

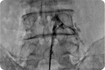
풍선확장술 치료과정

해골 이미지

본바움병원은 합니다.

척추·관절 QUICK 케어 이미지
POINT 01

척추·관절 QUICK 케어

척추·관절 치료에서 가장 중요한 것은 ‘때’를 놓치지 않는 것입니다.
본바움병원에서는 하루 안에 검사부터 진단, 그리고 필요한 경우
수술까지 QUICK 하게 이어질 수 있습니다.

최소절개·최소침습 이미지
POINT 02

최소절개·최소침습

풍부한 경험을 가진 의료진이 환자의 부담을 최소화하는 데
집중합니다. 최소절개, 최소통증을 원칙으로 하여 불필요한 상처를
줄이고 회복 속도를 앞당깁니다.

본바움 도수클리닉 이미지
POINT 03

본바움 도수클리닉

치료는 끝이 아니라 새로운 시작입니다. 급성·만성 통증 관리부터
시술·수술 후 재활까지, 본바움 도수운동클리닉은 환자의 몸을 다시
건강하게 세우는 든든한 파트너입니다.

청정 무균수술실 이미지
POINT 04

청정 무균수술실

본바움병원의 수술실은 환자의 안전을 최우선으로 합니다.
헤파필터가 공기 중 미세균을 철저히 차단하고, 최첨단 무균·무진
시설이 수술실 전 구역을 청정하게 유지합니다.

BONE BAUM HOSPITAL

본바움병원
YOUTUBE

평소 궁금하신 사항을
영상을 통해 쉽고 자세히 알려드립니다.

유튜브 바로가기

진료안내

02.6354.0100
  • 오전 09:00 ~ 오후 09:00

  • ·

    오전 09:00 ~ 오후 06:00

  • 오전 09:00 ~ 오후 02:00

  • 오후 01:00 ~ 오후 02:00

※ 공휴일은 점심시간 없이 진료

오시는길

서울특별시 은평구 불광로 29, 본바움병원
불광역 7번 출구 바로 앞 11층 건물

※ 불광역 5번 출구 에스컬레이터 이용시 더욱 편리하게 방문하실 수 있습니다.

SELP-DIAGNOSIS TEST
쉽고 정확하게 체크하는
관절 자가진단

어디가 어떻게 아프세요?
본바움병원에서 쉽고, 정확하게 자신의 관절을
체크할 수 있는 자가 테스트를 진행해 보세요!

무릎 자가진단
어깨 자가진단
발관절 자가진단