무지외반증 수술

작은 절개와 특수 장비를 이용해
흉터와 통증을 최소화!

엄지발가락이 바깥쪽을 향해 휜 정도가 심각하고
통증으로 일상생활이 불가능할 경우,
변형 된 뼈를 깎아내고 각도를 교정해 줌으로써
근육, 인대등의 연부조직이 제자리를
찾을 수 있도록 하는 치료법
입니다.

무지외반증 수술 장점

과거에는 튀어나온 뼈만 깎는 수술을 해서 통증도 심하고 재발하는 경우도 많았지만
최근에는 엄지발가락과 인대를 일자로 잡아 주는 절골술을 시행하여 재발률을 크게 낮췄습니다.

최소침습 무지외반증 수술

환자의 발 상태에 따라 매우 다양한 수술법이 있으며,
무지외반증이 심하지 않다면 최소절개를 통한 연부 조직 수술을 시행할 수 있습니다.

적은 통증
20도 이하의 변형
발 20도 이하의 변형 이미지

비수술 치료
(진통소염제, 운동치료)

20도 이상의 변형
발 20도 이하의 변형 이미지

비수술 치료
(진통소염제, 말춤깔창, 교정기)

중증도의 심한 통증
20~40도의 변형
발 20도 이하의 변형 이미지
40도 이상의 변형
발 20도 이하의 변형 이미지
최소침습 무지외반증 수술
기존 절개술
기존 절개술 이미지
  • 비교적 큰 절개를 통해 수술을 진행
  • 큰 절개로 인해 회복 시간이 길고, 통증과 부작용의 위험이 높음
최소침습 무지외반증 수술
최소침습 무지외반증 수술 이미지
  • 작은 절개를 통해 진행되므로 흉터가 거의 남지 않음
  • 작은 절개로 인해 회복 시간이 짧고, 빠른 일상생활 복귀가 가능

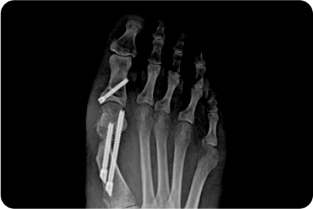
무지외반증 수술 적용사례

1

최소침습
무지외반증 수술

엄지발가락 부위에 약 2~3mm 크기의 작은
구멍을 만들고 특수한 미세 절삭 기구를 사용해
변형된 뼈를 절골하여 올바르게 교정합니다.

무지외반증 수술,
본바움에서 받아야하나요?

최소침습 무지외반증 수술은 발가락 뼈를 작은 절개로 교정하여,
의사가 직접 특수 장비를 통해 변형된 뼈를 정밀하게 절골하고 올바른 정렬로 맞추는 방식으로 진행
됩니다.
이 과정에서 변형된 부위와 정상 조직을 구분하는 섬세한 판단이 필요하기 때문에,
풍부한 경험을 가진 의료진일수록 정확한 교정과 안정적인 결과를 얻을 수 있습니다.
본바움병원은 수술 경험이 풍부한 전문의가 첨단 최소침습 장비를 이용해
흉터와 통증을 최소화하고 빠른 회복이 가능한 최소절개 무지외반증 수술을 시행
하여 믿을 수 있습니다.

의료진의 풍부한 경험
+
첨단 수술장비
정확한 진단과 치료 방향을 제시하는 이미지
1

정확한 진단과 치료 방향 제시

경험 많은 의료진이 수많은 사례를 통해
축적된 임상 데이터를 바탕으로,
환자의 증상을 빠르고 정확하게 파악합니다.

고난도 수술에서의 안정성
2

고난도 수술에서의 안정성

척추·관절 수술은 정밀함과 안전성이 필수입니다.
본바움병원 의료진의 경험은 수술 중 발생할 수 있는
다양한 변수에 신속하게 대응할 수 있는 힘이 됩니다.

재수술과 복잡한 케이스 관리
3

재수술과 복잡한 케이스 관리

풍부한 경험을 가진 의료진이 다양한 상황을
접해본 만큼, 재수술이나 복잡한 케이스에서도
최적의 해결책을 제시합니다.

세계적인 수준의 수술장비
4

세계적인 수준의 수술장비

최첨단 수술 장비와 정밀 진단 시스템을 갖추어,
고난도 수술에서도 세계적인 수준의
안전성과 정확성을 보장합니다.

본바움병원은 합니다.

척추·관절 QUICK 케어 이미지
POINT 01

척추·관절 QUICK 케어

척추·관절 치료에서 가장 중요한 것은 ‘때’를 놓치지 않는 것입니다.
본바움병원에서는 하루 안에 검사부터 진단, 그리고 필요한 경우
수술까지 QUICK 하게 이어질 수 있습니다.

최소절개·최소침습 이미지
POINT 02

최소절개·최소침습

풍부한 경험을 가진 의료진이 환자의 부담을 최소화하는 데
집중합니다. 최소절개, 최소통증을 원칙으로 하여 불필요한 상처를
줄이고 회복 속도를 앞당깁니다.

본바움 도수클리닉 이미지
POINT 03

본바움 도수클리닉

치료는 끝이 아니라 새로운 시작입니다. 급성·만성 통증 관리부터
시술·수술 후 재활까지, 본바움 도수운동클리닉은 환자의 몸을 다시
건강하게 세우는 든든한 파트너입니다.

청정 무균수술실 이미지
POINT 04

청정 무균수술실

본바움병원의 수술실은 환자의 안전을 최우선으로 합니다.
헤파필터가 공기 중 미세균을 철저히 차단하고, 최첨단 무균·무진
시설이 수술실 전 구역을 청정하게 유지합니다.

BONE BAUM HOSPITAL

본바움병원
YOUTUBE

평소 궁금하신 사항을
영상을 통해 쉽고 자세히 알려드립니다.

유튜브 바로가기

진료안내

02.6354.0100
  • 오전 09:00 ~ 오후 09:00

  • ·

    오전 09:00 ~ 오후 06:00

  • 오전 09:00 ~ 오후 02:00

  • 오후 01:00 ~ 오후 02:00

※ 공휴일은 점심시간 없이 진료

오시는길

서울특별시 은평구 불광로 29, 본바움병원
불광역 7번 출구 바로 앞 11층 건물

※ 불광역 5번 출구 에스컬레이터 이용시 더욱 편리하게 방문하실 수 있습니다.

SELP-DIAGNOSIS TEST
쉽고 정확하게 체크하는
관절 자가진단

어디가 어떻게 아프세요?
본바움병원에서 쉽고, 정확하게 자신의 관절을
체크할 수 있는 자가 테스트를 진행해 보세요!

무릎 자가진단
어깨 자가진단
발관절 자가진단